嗜铬细胞瘤及副神经节瘤是一类内渗透系统的少见病,,,,,,嗜铬细胞瘤是起源于肾上腺髓质,,,,,,副神经节瘤是起源于肾上腺外的交感神经链并具有激素渗透功效的神经内渗透肿瘤,,,,,,主要合成、渗透和释放大宗儿茶酚胺,,,,,,引起患者血压升高和代谢性改变等一系列临床症候群,,,,,,并造故意、脑、肾、血管等严重并发症甚至成为患者殒命的主要缘故原由。。。。。。。

无线腹腔镜是5G+4K无线智能腹腔镜系统,,,,,,重庆大学隶属涪陵医院泌尿外科是重庆市率先接纳无线腹腔镜手艺的科室。。。。。。。扫除了古板腹腔镜手术中多条线缆的牵绊和约束,,,,,,将高清图像实时无损传输到4K显示器,,,,,,具有无线传输、自带光源、微型化、智能化、免消毒、毗连利便、缩短准备时间等优势。。。。。。。
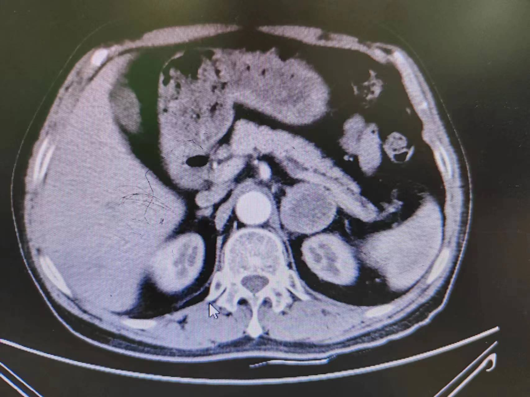
患者熊XX,,,,,,67岁,,,,,,因发明头晕、头痛曾多次于外院就诊,,,,,,到新桥医院就诊完善肾上腺CT思量嗜铬细胞瘤,,,,,,既往有高血压病史3年,,,,,,血压更高达230/120mmHg。。。。。。。我院高新区院区开诊后,,,,,,患者慕名而来。。。。。。。术前起劲完善血尿儿茶酚胺代谢产品(MNS)均显着升高,,,,,,患者于我院高新区院区及江南院区泌尿外科起劲控制血压、心率、血糖,,,,,,术前充分扩容。。。。。。。
因肿瘤位置位于肾蒂周围,,,,,,术中触碰肿瘤导致血压显着升高,,,,,,血压波动较大,,,,,,肿瘤外貌血供富厚,,,,,,不但需要手术医生富厚的临床履历和高明的手艺水平,,,,,,也是对医生心理素质、勇气和毅力的严肃磨练。。。。。。。
经由泌尿外科医师全体讨论,,,,,,在举行术前准备2-3周后,,,,,,再次请多学科讨论评估手术危害,,,,,,并与患者及眷属充分相同后于6月30日行腹腔镜下左侧肾上腺嗜铬细胞瘤切除术。。。。。。。手术在陈勇主任医师的指导下,,,,,,由孙伟副主任医师主刀及王传麟医师完成,,,,,,术中见肿瘤与肾蒂血管周围粘连细密,,,,,,与肾动脉、肾静脉分界不清,,,,,,稍有失慎,,,,,,可能损伤肾蒂血管可能需要行肾切除术,,,,,,且疏散肿瘤历程中血压波动较大。。。。。。。但在孙伟精准操作及疏散下,,,,,,与麻醉医生和手术护士团队亲近配合,,,,,,经由2小时的手术,,,,,,顺遂切除嗜铬细胞瘤,,,,,,并;;;;;ず蒙鲈嘌芗爸芪ё橹。。。。。。。术后患者顺遂出院,,,,,,术后血压及血糖控制优异。。。。。。。


本次手术的开展,,,,,,标记泌尿外科微创手术方面的手艺又上新台阶,,,,,,标记着我院科室间越发细密的协作,,,,,,泌尿外科将继续潜心钻研,,,,,,精进手艺,,,,,,引领渝东南泌尿外科的生长,,,,,,为更多患者提供更优质的诊疗效劳。。。。。。。
文章泉源:重庆大学隶属涪陵医院订阅号